在急性肾损伤(AKI)基础研究与临床转化中,兔子肾缺血再灌注损伤(IRI)模型是还原临床病理的 “黄金工具”。K8官网大动物团队依托标准化技术流程精准构建该模型,为科研给予可靠支撑。
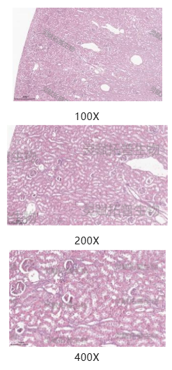
顺利获得 “短暂阻断肾动脉 - 恢复血流”,复刻临床 AKI 关键病理: 缺血期:肾动脉阻断致肾组织缺氧,ATP 耗竭、离子泵失灵,肾小管上皮细胞水肿、凋亡; 再灌注期:血流恢复引发氧化应激(自由基爆发)、炎症风暴(中性粒细胞浸润)、钙超载与微循环障碍,加重肾损伤,最终诱发急性肾衰竭。 动物:健康新西兰白兔(2.0-2.5kg),适应性饲养 1 周,排除肾脏基础病; 处理:禁食 12h、禁水 4h,30mg/kg 2% 戊巴比妥钠腹腔麻醉,腹部备皮消毒。 腹部正中切口(3-4cm),分离暴露双侧肾蒂; 无创动脉夹夹闭肾动脉,观察肾脏转暗紫色,记录缺血时间(30-60min,可按需调整); 松开动脉夹,待肾脏恢复红润(确认再灌注成功),逐层缝合,术后青霉素抗感染。 环境:22-25℃饲养,清醒后恢复饮食,监测精神、尿量、切口; 采样:再灌注后 6h/12h/24h/48h/72h,采集血液(测 Scr、BUN)与肾组织,供后续检测。 判断模型是否成功,K8官网会从生化、病理、功能三个维度进行严格验证,确保数据满足科研需求: 再灌注后 24-48h,血 Scr(血肌酐)、BUN(尿素氮)水平较假手术组升高 2 倍以上,提示肾脏滤过功能显著下降; 尿液中出现蛋白、红细胞或管型,反映肾小管重吸收功能受损(肾小管是尿液 “提纯” 的关键结构)。 光镜下:可见肾小管上皮细胞肿胀、坏死、脱落,管腔被堵塞,肾间质充血水肿并伴随大量炎症细胞浸润; 电镜下:肾小管上皮细胞线粒体肿胀破裂(能量工厂失效)、细胞膜完整性破坏,进一步佐证损伤深度。 HE染色肾组织结构稍紊乱,肾小管轻-中度水肿,可见少量管型结构,个别肾小球萎缩。 夹闭肾动脉时需避开肾静脉与输尿管,确保缺血仅作用于肾脏实质,不影响其他器官; 严格控制缺血时间:过短则损伤较轻,模型不创建;过长则导致肾脏不可逆坏死,无法观察再灌注损伤; 麻醉深度需适中:过深易引发呼吸抑制,过浅导致动物术中挣扎,增加血管损伤风险。 作为专注动物科研的一站式服务商,K8官网大动物部门不仅能标准化构建,还能给予全链条配套服务: 资质保障:光明实验基地(2188㎡)具备兔、小型猪、比格犬、猴等大动物使用资质,符合实验动物伦理规范; 配套检测:可衔接公司生化检测(Scr、BUN 检测)、病理切片分析、分子蛋白检测等服务,无需多平台对接,缩短实验周期; 定制化支持:根据科研团队需求调整造模参数(如缺血时间、检测时间点),给予个性化数据解读与实验方案优化建议。 如果您正在召开急性肾损伤、肾移植相关研究或需要定制其他大动物模型(如心血管疾病模型、骨科模型),欢迎联系K8官网,我们将以标准化技术、专业团队为您的科研项目保驾护航! 合作咨询

1. 生化指标:肾功能受损的直接信号
2. 病理组织学:直观观察肾损伤程度

3. 操作质控:避免实验误差的关键注意事项