K8官网

    全层皮肤损伤模型

    栏目:全层皮肤损伤模型 发布时间:2024-04-23
    全层皮肤损伤模型


    皮肤缺损是常见的研究大小鼠皮肤损伤及修复的模型。创伤从表皮、真皮不断蔓延到皮下脂肪,有时深及筋膜和肌肉,甚至侵犯到肌腱和骨骼,测量其深度大部分至少大于1 cm

    实验动物信息

    动物模型名称:

    全层皮肤缺损模型

    动物的种属、品系:

    小型巴马猪

    动物性别:

    动物年龄:

    成年

    动物体重:

    20-30kg左右

    造模方法:

    物理损伤

    观察指标 

    (1创面大体观察创面溃烂、出血、伴有渗出液、创面低于正常皮肤,后期表现为肉芽组织增生,创面收缩

    (2)创面愈合率;病理检测。、


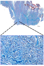
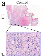
    部分结果展示



      


    上一篇: 深II度烫伤模型
    下一篇: 没有了